
رجل وست.. حكايات مثيرة للمومياوات الصارخة فى مصر
تمكن الدكتور زاهى حواس عالم الآثار ووزير الآثار الأسبق المصرية، والدكتورة سحر سليم أستاذ الأشعة بجامعة القاهرة والمتخصصة فى أشعة الآثار، من حل لغز “مومياء المرأة الصارخة” من الخبيئة الملكية فى الدير البحرى، وذلك فى الدراسة التى نشرت حديثا بإحدى المجلات العلمية الدولية، ولكن فى نفس الخبيئة تم اكتشاف مومياء صارخة أخرى لرجل، ولهذا نستعرض قصة المومياوتين خلال السطور المقبلة، وتفاصيل حكايتهما.
.jpg)
مومياء المرأة الصارخة
وتعود قصة المومياء الصارخة أنه فى عام 1881 تم اكتشاف خبيئة الدير البحرى الملكية فى الأقصر، حيث قام كهنة الأسرتين ٢١ و ٢٢ بإخفاء أعضاء ملكيين من أسر سابقة لحمايتهم من لصوص القبور.
واحتوت خبيئة الدير البحرى الملكية على “مومياء الرجل الصارخ” والتى أثبتت الدراسات الحديثة بالأشعة المقطعية والـ DNA التى قام بإجرائها الدكتور زاهى حواس والفريق العلمى للمشروع المصرى للمومياء Egyptian Mummy Project على أن “مومياء الرجل الصارخ” هو الأمير بنتاؤر Pentawere ابن الملك رمسيس الثالث والذى أُجبر على الانتحار شنقا عقابا له على تورطه فى قتل أبيه الملك رمسيس الثالث فى ما يعرف بمؤامرة الحريم، وتم عقاب الابن القاتل بعدم تحنيط جثته ولفها بجلد الغنم، مما يشير إلى أنه اعتبر (نجسًا) وليكون مصيره الجحيم فى الآخرة، فى الوقت الذى كانت فيه المومياوات الأخريات ملفوفة بالكِتّان الأبيض ومحنطة بعناية.

كما احتوت نفس الخبيئة الملكية فى الدير البحرى على مومياء لامرأة تظهر على وجهها علامات الرعب والألم والصراخ وعرفت بـ “مومياء المرأة الصارخة”، فرأسها مائلة إلى الجانب الأيمن وساقاها مثنية وملتفة عند الكاحل فى الوقت الذى كانت فيه المومياوات الأخريات مغلقة الفم ومستلقية مستقيمة الجسد.

وتشير الكتابات باللغة الهيراطيقية على لفائف الكتان حول مومياء المرأة الصارخة أنها: “الابنة الملكية، الأخت الملكية ميريت آمون”، ومع ذلك اعتبرت المومياء غير معروفة فسميت بـ”مومياء المرأة غير المعروفة”، حيث كان هناك العديد من الأميرات بنفس الاسم، على سبيل المثال ميريت آمون ابنة الملك سقنن رع من نهاية الأسرة السابعة عشر 1558- 1553 قبل الميلاد)، وكذلك ميريت آمون ابنة الملك رمسيس الثانى (1279-1213 قبل الميلاد) من الأسرة التاسعة عشر.
وتشير نتائج تصوير الأشعة المقطعية CT scan التى أجراها الدكتور زاهى حواس والدكتورة سحر سليم إلى أن مومياء المرأة الصارخة هى لسيدة ماتت فى العقد السادس من العمر وأن جثمانها (و على العكس من بنتاؤر Pentawere) نال عناية بالغة من المحنطًين الذين أزالوا الأحشاء ووضعوا مواد باهظة الثمن مثل الراتنج والحنوط المعطرة فى تجويف الجسم و استخدموا الكتان الطاهر فى لف المومياء .
.jpg)
مومياء المرأة الصارخة
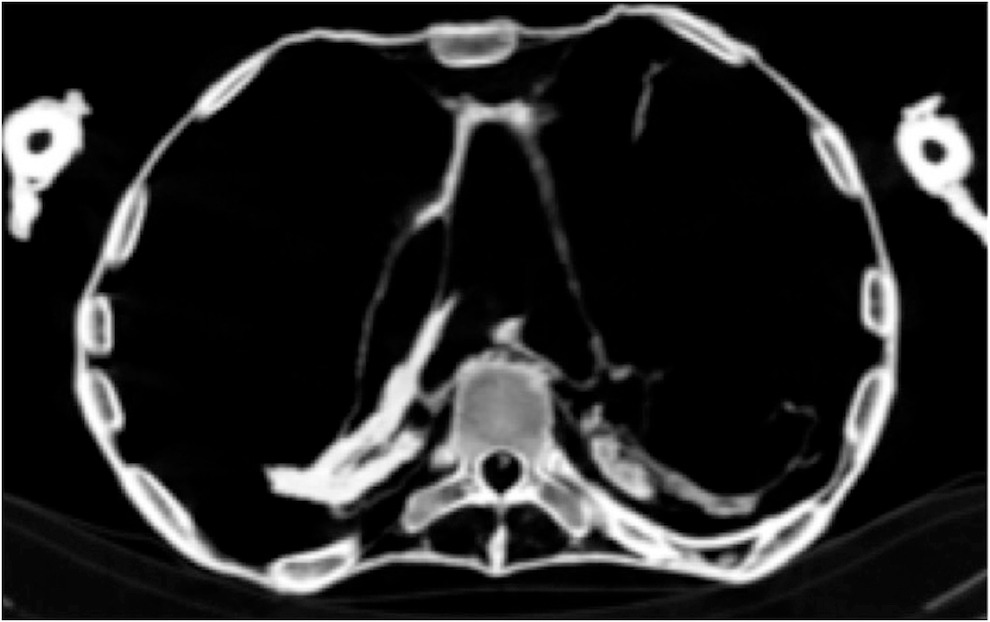
وتشير نتائج التصوير المقطعى إلى أن “مومياء المرأة غير المعروفة”، “كانت مصابة بمرض تصلب الشرايين شديد الدرجة والذى أصاب العديد من شرايين الجسد، ومرض تصلب الشرايين هو مرض تنكسى يصيب جدار الشرايين بشكل تدريجى ما يؤدى إلى ضيق فى تجويف الوعاء الدموى وانسداده، ويتم تحديد أماكن تصلب الشرايين فى فحص الأشعة المقطعية كمناطق عالية التكلس داخل جدران الشرايين والتى يمكن التعرف عليها حسب مكان الشريان.
.jpg)
خلال إجراء الأشعة المقطعية على المومياء
وأسفرت الدراسات السابقة التى قام بها الدكتور زاهى حواس والدكتورة سحر سليم على المومياوات الملكية المصرية القديمة عن وجود تصلب الشرايين فى البعض منها.
فأثبت فحص الأشعة المقطعية لـ “مومياء المرأة غير المعروفة” أنها عانت من تصلب فى شرايين القلب التاجية الأيمن والأيسر وكذلك شرايين الرقبة وشريان الأبهر البطنى والحرقفى وكذلك شرايين الطرفين السفليين والساقين.
.jpg)
مومياء المرأة الصارخة
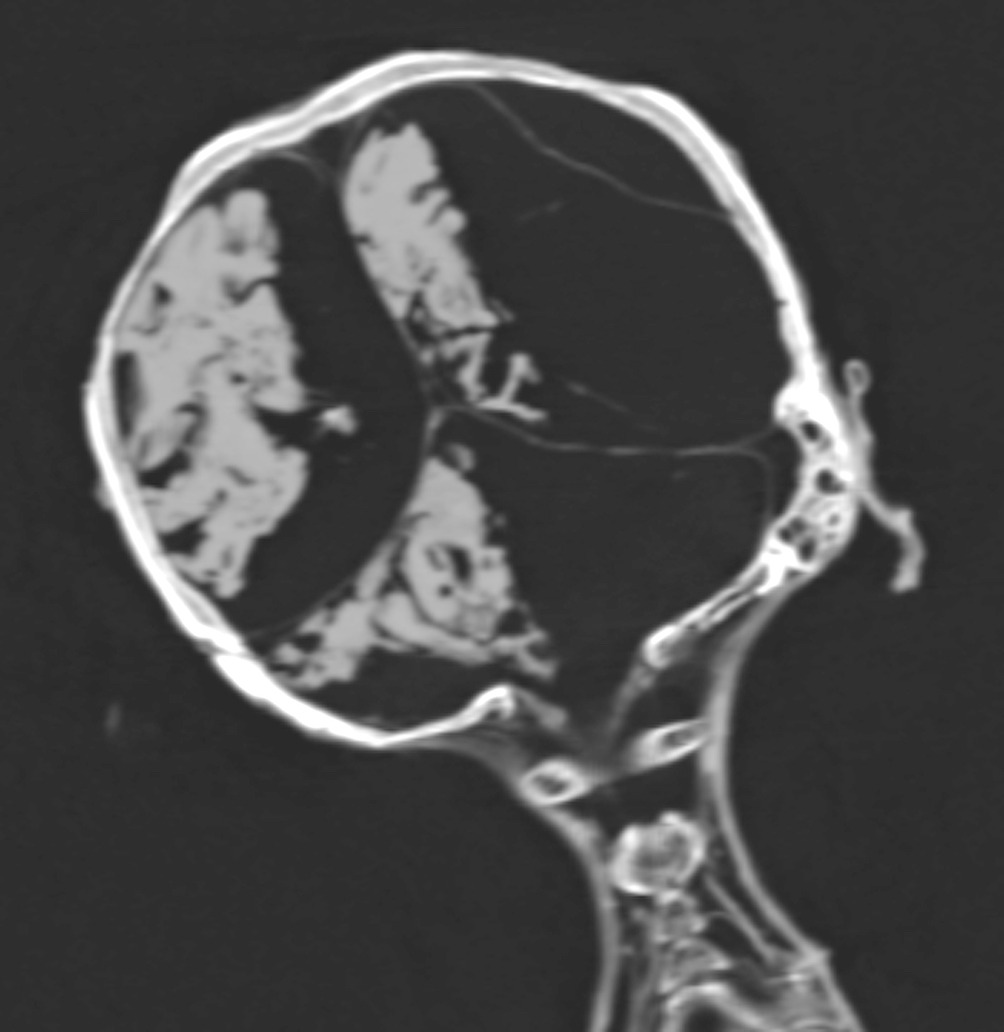
و تفترض هذه الدراسة أن الأميرة ماتت فجأة بنوبة قلبية وهى على وضع الجسد الحالى ساقاها مثنية وملتفة عند الكاحل، وتسبب الموت فى ميل الرأس إلى الجانب الأيمن وارتخاء عضلات الفك مما أدى إلى فتح الفم، و تشير الدلائل أن المتوفاه ظلت لفترة كافية لعدة ساعات على هذه الوضعية قبل أن يتم اكتشاف الجثمان فأدى التشنج الذى يعقب الموت إلى تيبس العضلات والمفاصل وإبقاء مومياء الأميرة على وضعية الوفاة هذه فلم يتمكن المحنطون من تأمين إغلاق الفم أو وضع الجسد فى حالة الاستلقاء كما كان المعتاد مع باقى المومياوات، فيبدو أنه لم يهمل المحنطون عملهم عن عمد و لكن ظروف الوفاة أدت لوضعية المومياء هذه والغير معتادة، وأظهرت صور فحص الأشعة المقطعية أن المحنطون لم يستخرجوا مخ المومياء، حيث لا يزال يرى المخ بداخل تجويف الجمجمة ولكنه يميل إلى الجانب الأيمن وذلك لوضعية الجسد على هذا الجانب عند الموت و بعد التحنيط.
.jpg)
خلال إجراء الأشعة المقطعية على المومياء (3)
و ترجح هذه الدراسة من خلال ملاحظة خصائص طريقة تحنيط “مومياء المرأة الصارخة” مثل عدم استخراج المخ أنها قد تكون ميريت آمون ابنة الملك سقنن رع من نهاية الأسرة السابعة عشر 1558- 1553 قبل الميلاد و ليست ابنة الملك رمسيس الثانى (1279-1213 قبل الميلاد) من الأسرة التاسعة عشر.
وسيستكمل دكتور زاهى حواس مع دكتورة سحر سليم وباقى الفريق العلمى مشروع المومياء المصرى وعمل فحوصات الـ DNA على مومياء المرأة الصارخة مما قد يساعد على تـأكيد هويتهـا.
